
她今年18岁,本该是活力满满的年纪,却被一场突如其来的头痛困住了。
两个多月前,她开始出现阵发性的剧烈头痛,脑袋像要炸开一样,疼得厉害时还伴着恶心,但吐不出来。奇怪的是,头痛跟姿势没关系,躺着、站着都疼。去当地医院做了头颅CT和颈椎MRI,结果发现了一些异常:右额叶有异常密度影,脑子里还有钙化灶,更让人意外的是,颈1-2水平的脊髓里也长了个东西。
一个18岁的女孩,脑子里和脊髓里同时发现问题,这绝不是小事。带着忐忑和疑问,她来到了北京一脉阳光医学影像诊断中心,希望能把这一切彻底弄清楚。医生建议她做一个更精细的检查——头颅和颈椎的增强磁共振,因为对于脑和脊髓这种“精密仪器”,MRI看得最清楚。
Rimag
影像表现
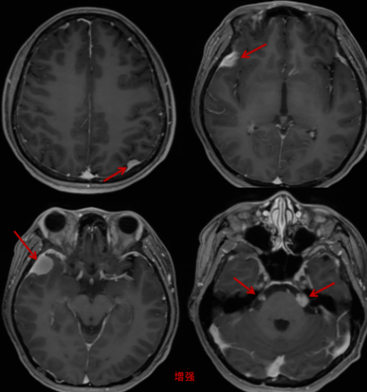
颈椎MRI平扫+增强扫描检查,提示颈2-3椎体水平脊髓增粗,相应节段脊髓中央区可见椭圆形稍短T1稍长T2信号,边界尚清,增强扫描病变内可见明显不规则结节状强化,强化结节大小约15x25mm。
头颅MRI平扫+增强扫描检查,提示大脑镰旁、双侧顶部、双侧颞部及左侧小脑幕上部可见多发大小不等类圆形或梭形稍长T1等T2信号,增强扫描可见明显均匀强化,边界清楚,可见脑膜尾征;右侧脑室后角内可见类圆形稍长T1稍短T2信号,增强扫描可见较均匀强化;左侧内听道、双侧三叉神经可见多发结节状等T1等T2信号,增强扫描明显强化。


Rimag
影像诊断
颈髓室管膜瘤、颅内多发脑膜瘤、左侧听神经、双侧三叉神经多发神经鞘瘤。
一个18岁的女孩,颅内和脊髓里同时出现这么多肿瘤——脑膜瘤、室管膜瘤、神经鞘瘤,这绝不是巧合。影像医生脑海中立刻闪过一个词:神经纤维瘤病Ⅱ型(NF2)。
Rimag
诊断思路:从影像到基因的“追凶”
为了验证这个猜想,北京影像中心医生再次详细追问病史:皮肤上有无牛奶咖啡斑?有没有癫痫发作过?女孩都摇头否认。但这并不奇怪,因为NF2恰恰不以皮肤斑点为特征,它更像一个“潜伏者”,专攻神经系统。
结合影像学发现:双侧听神经瘤+ 多发脑膜瘤 + 颈髓室管膜瘤,这正是NF2的经典三联征。影像诊断报告果断给出了倾向性意见:神经纤维瘤病Ⅱ型可能,并建议进行基因检测。
后续的基因检测结果证实了判断——NF2基因突变。至此,所有肿瘤的来源终于水落石出。
Rimag
疾病概述:神经纤维瘤病Ⅱ型——藏在神经里的“定时炸弹”
神经纤维瘤病是一种常染色体显性遗传病,分为Ⅰ型和Ⅱ型。Ⅰ型(NF1)以皮肤牛奶咖啡斑、骨骼异常为特征,占90%;而Ⅱ型(NF2)则完全不同,它主要累及中枢神经系统,表现为双侧听神经瘤、多发脑膜瘤、脊髓室管膜瘤、神经鞘瘤等。
NF2的发病年龄往往更年轻,本例18岁女孩就属于早发型。虽然她可能没有家族史(约一半为散发新发突变),但一旦发病,肿瘤会像“蒲公英”一样在颅内和脊髓播散。幸运的是,通过影像学可以全面评估肿瘤分布,为手术、放疗或靶向治疗提供精准导航。
Rimag
MRI—神经系统肿瘤的“高清侦察兵”
为什么MRI能发现这么多细微的肿瘤?它有哪些独门绝技?
1. 无与伦比的软组织分辨率:MRI能清晰区分脑灰质、白质、神经、血管、脑膜,甚至能显示几毫米的微小肿瘤。对于脊髓内的室管膜瘤,MRI可以精确描绘其位置、范围,以及与正常脊髓的边界。
2. 增强扫描“点亮”病灶:注射对比剂后,血供丰富的肿瘤(如脑膜瘤、神经鞘瘤)会明显强化,与周围正常组织形成鲜明对比。脑膜尾征就是脑膜瘤沿脑膜生长的典型表现,是MRI的独有发现。
3. 多参数、多序列成像:MRI可以同时提供T1、T2、FLAIR、DWI等多种图像,从不同角度反映肿瘤的细胞密度、含水量、有无钙化等特性,帮助鉴别肿瘤类型。
4. 多部位联合扫描:对于NF2这样的全身性疾病,MRI可以一次性完成头颅、颈椎、胸椎、腰椎的扫描,全面评估肿瘤负荷,避免漏诊。本例正是通过头颅+颈椎MRI的联合检查,才发现了颅内和脊髓的病灶。
5. 无电离辐射,安全可重复:对于需要长期随访的NF2患者,MRI可以反复进行,而无辐射损伤之忧。
Rimag
清晰影像,照亮罕见病的真相之路
一个18岁女孩的剧烈头痛,牵出了隐匿全身的多发肿瘤。从当地医院的初步发现,到一脉阳光的精准影像评估,再到最终的基因确诊,每一步都离不开影像医学的“慧眼”。神经纤维瘤病Ⅱ型虽然罕见,但有了MRI这把“高清放大镜”,它再也无处遁形。
