脉讯速览
近期,辽宁一脉阳光医学影像诊断中心接诊了一位44岁女性患者。她自述发现腮腺区肿物已有一年,彩超检查提示双侧腮腺下极存在实性低回声团,需进一步明确性质。

什么是腮腺占位性病变?
腮腺是人体最大的唾液腺,位于面部两侧耳前至下颌角区域,主要负责分泌唾液。当腮腺内出现异常肿块或肿瘤时,医学上称为“腮腺占位性病变”。这类病变种类多样,可能是良性肿瘤(如多形性腺瘤)、恶性肿瘤,也可能是炎性结节或囊肿。
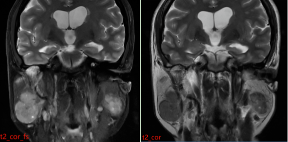
患者接受了磁共振(MR)检查,影像表现如下:
MR表现:双侧腮腺浅叶下极见结节状略混杂信号,T1以低信号为主、T2以 稍高信号为主,DWI呈稍高信号,ADC图呈稍低信号,边界清晰,增强扫描病变中等强化,强化较均匀,其内见点状无强化影。



为什么影像检查中要“加扫”特殊序列?
报告中特别提到“加扫stir_mx3d序列”,这一步骤非常重要。该序列能更清晰地显示病变与周围神经、血管的解剖关系。腮腺区域内走行着重要的面神经,它控制着我们的面部表情肌肉。如果手术中损伤该神经,可能导致术后面瘫,影响患者闭眼、微笑等基本功能。
医学影像在腮腺病变诊治中的价值
1、精准定位:明确病变位于腮腺的浅叶还是深叶,单发还是多发。
2、辅助定性:通过信号特点、强化方式、边界形态等,初步判断病变的良恶性倾向。
3、评估关系:清晰显示病变与面神经、血管、下颌骨等重要结构的关系,为手术规划提供关键信息。
4、随访对比:对于暂不手术的患者,可通过定期影像复查监测病变变化。
彩超作为初步筛查的有效工具,磁共振(MR)能提供更详细的软组织信息,帮助医生全面评估病情。现代医学影像技术已能清晰“描绘”病灶与神经血管的脉络,让手术更加精准、安全。
发现占位不必过度焦虑,多数腮腺肿瘤为良性。通过规范的影像检查和临床评估,医生可以制定个体化的治疗方案,在切除病变的同时,全力保护面部正常功能
