脉讯速览
在南昌一脉阳光医学影像诊断中心,68岁的王先生拄着拐杖,缓慢地走了进来。他的左腿已经持续疼痛了整整半年,最近一周更是疼得几乎无法行走。“像是骨头里扎了根针,又沉又酸,晚上尤其难受。”王先生这样描述。

经过详细的问诊和检查,医生初步判断问题可能出在髋关节。为了明确病因,王先生被建议接受髋关节磁共振(MRI)检查。
影像下的“塌陷”
股骨头的无声呼救
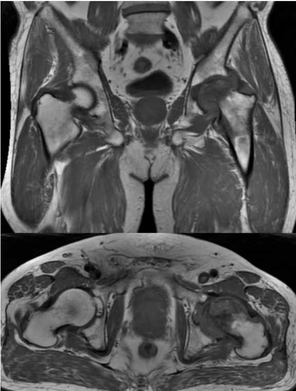
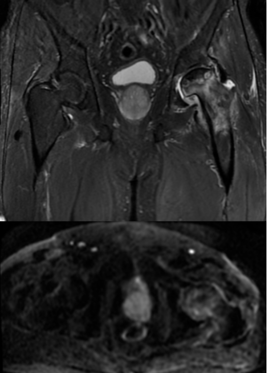
MRI结果显示,王先生的左侧股骨头已经变扁,出现局部塌陷。
左侧股骨头变扁,局部塌陷,骨质内见线状T1WI低信号,髋臼及股骨近端骨松质见片状T1WI低、T2WI压脂高信号,DWI高信号,周围滑膜增厚,邻近软组织肿胀,PD压脂信号增高,关节腔少量积液。


探秘股骨头坏死
谁在威胁我们的“髋关节轴承”
股骨头,作为人体髋关节的“球形轴承”,承受着上半身的重量,其血供却相对脆弱。一旦血液供应受阻,骨细胞就会因缺氧而坏死,最终导致结构塌陷和关节功能丧失。
王先生所患的属于非创伤性股骨头坏死。临床上,此病可分为两大类:
Rimag
创伤性
主要由股骨颈骨折、髋关节脱位等外伤导致血管直接受损。
Rimag
非创伤性
病因更为复杂隐匿,主要包括:
①激素性:长期或大量使用糖皮质激素是首要原因,激素会致脂肪代谢紊乱,增加骨髓脂肪体积,压迫血管,并可能引起血管内凝血,堵塞股骨头供血。
②酒精性:长期过量饮酒同样会导致脂质代谢异常,引发血管炎和脂肪栓塞。
③其他:如减压病(潜水员等)、镰刀细胞性贫血、自身免疫性疾病等。
此病虽多见于30-50岁的中青年,但像王先生这样的老年患者也并不罕见,可能与老年人潜在的血管病变、骨质疏松或曾有的用药史有关。
MRI:透视骨骼的显微镜
在这个病例中,磁共振(MRI)发挥了无可替代的作用。与X光片只能显示骨骼形态、CT主要显示骨质结构不同,MRI的突出优势在于:
卓越的软组织分辨率:能清晰显示骨髓、软骨、滑膜、韧带及肌肉的细微变化。
早期诊断能力:在X光片尚未出现异常时,MRI就能通过信号改变发现早期的骨髓水肿和坏死,实现早诊断、早干预。
多序列、多参数成像:如同本例中运用的T1WI、T2WI压脂、DWI、PD压脂等不同序列,能从血流、水分、细胞密度等多个维度评估病变性质,为医生提供全面的诊断信息。
面对影像结果,医生向王先生耐心解释:他的腿痛根源在于股骨头因缺血发生了坏死和塌陷,并引发了关节内的一系列炎症。治疗需要根据塌陷的程度、年龄和活动需求来制定,可能包括药物缓解疼痛、减少负重、物理治疗,或根据情况评估进行保髋手术甚至人工髋关节置换术。
王先生的病例提醒我们,对于持续不退的髋部或腹股沟区深部疼痛、活动后加重、伴有跛行的情况,应高度警惕髋关节疾病,尤其是股骨头坏死的可能性。对于有长期酗酒、激素使用史、相关血液疾病或外伤史的高危人群,更应定期关注髋部健康。
医学影像,就像一双穿透肌肤的“智慧之眼”,将隐藏的病变清晰地呈现在医生面前,为精准治疗照亮前路。而对我们每个人而言,了解身体发出的警报,及时寻求专业的影像检查与诊断,正是守护骨骼健康、保障生活品质的重要一步。
